各線天神駅より徒歩5分

上顎前突(出っ歯)の矯正治療

上顎前突
(出っ歯)とは?

咬み合った時に、前歯の重なりあいが、上の歯列が下の歯列より前にでるような咬合状態になる歯列のことを上顎前突症(出っ歯)と言います。お口が閉じにくいことから、見た目の問題だけでなく、お口の中が乾き、虫歯歯周病の原因となります。

上顎前突(出っ歯の原因

上顎前突の遺伝的な要因としては、もともと上顎骨が大きい、または下顎骨が小さい等の骨格的な問題が原因となります。

ご親族に上顎前突の方が多い場合には、この原因に当てはまることが多いです。また、日本人の多くは上顎骨は正常で下顎骨が小さい場合(見かけ上の上顎前突)が多いといわれています。

上顎前突の環境的な要因とは、上口唇弛緩、下口唇過緊張等の口輪筋機能不全や指しゃぶり、下口唇を咬む等の口腔周囲の悪習癖も原因になるといわれています。

上顎前突(出っ歯)
を放置するリスク

見た目の問題以外では、前歯がかみ合わず、前歯でかみ切ることができない機能障害の問題が起こることが多いといわれています。また、お口が閉じにくいことからお口の中が乾いてしまい、唾液緩衝能と呼ばれるお口の中をキレイにする作用が働かなくなり、虫歯歯周病の原因を作ることに繋がります。

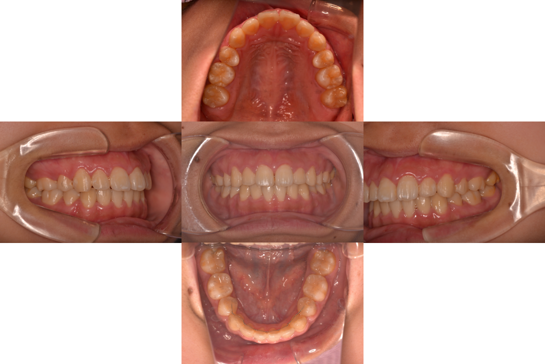
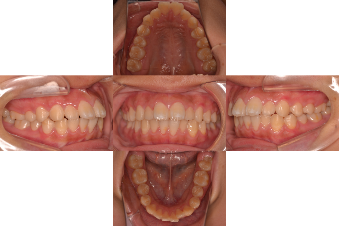
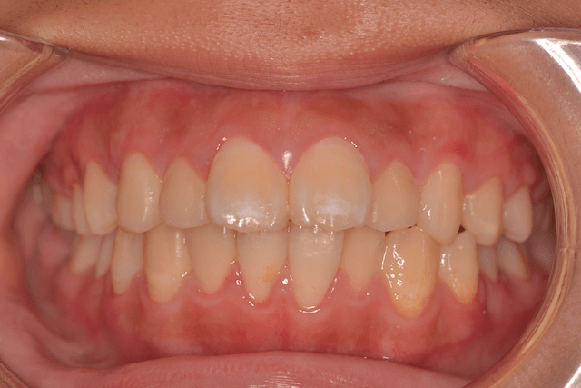
上顎前突(出っ歯)の症例

上顎前突(出っ歯)を抜歯とDBSで改善した症例

※DBSとはダイレクトボンディングシステムと呼ばれており、ブラケットにワイヤーを通して歯を動かしていく矯正治療です。

患者情報
16歳女性
主訴
口元下げたい
行った治療内容
上下顎両側4番抜歯、DBS
治療のリスク
歯根吸収、前歯部歯肉退縮
治療期間
動的治療期間2年9か月

※ クリックして拡大することができます。

モニターを募集しています

当院では学会発表や論文発表を目的とした、モニター募集をしています。
当院の考え方に理解をいただける方は、ご協力いただけると幸いです。

※モニターは無料ではありません。
※モニター割引をいたします。詳細はモニターページをご覧ください。

詳しくはこちら 

お気軽にご相談下さい

お口に関するお悩みがありましたら、お気軽にご相談下さい。
患者様に耳を傾け、誠実に対応致します。

WEB予約はこちら
※ご予約の前にお読みください

診療時間 10:00〜18:00