各線天神駅より徒歩5分

歯周病治療

歯周病の治療なら当院へお任せください

まず歯周病を疑うことから始める

歯周病の症状があってお困りの方がいらっしゃると思います。 でも安心してください。適切な治療を行うことで、歯周病は改善することができます。

歯周病になってしまったからといって、落ち込む必要はありません。歯周病で歯を失ったからといって、諦めてはいけません。

当院では日本歯周病学会専門医・指導医による監修の元、エビデンスに則った歯周病の治療を行っています。

歯周病にお困りでしたら、ぜひ当院へお任せください。

歯周病とは?

まず歯周病を疑うことから始める

歯周病菌が原因で、歯茎の炎症・歯槽骨の吸収(歯を支える骨が溶かされる)を引き起こし、最終的に歯を失ってしまう疾患です。痛みなどわかりやすい症状がないことから、重症化して来院されるかたがとても多いです。

以前は年配の病気のように思われていますが、現在では20代〜30代の方からすでに歯茎の出血など歯周病の症状が出始め、40歳を超えてくると歯を失ってしまう方が増えてきます。

最近では糖尿病などの全身疾患との関わりがあることが明らかになってきており、歯周病の治療や予防がとても重要であることが歯科に限らず医科でも理解が進んできました。

どのように歯周病になり、進行するのか?

プラークの付着

プラークの付着

プラークは歯垢のことで、細菌の塊です。この塊の中に歯周病菌も住み着いています。

歯周病菌はお口の清掃が不十分なことによって増殖します。このプラークは放置しているとやがて歯石となり、歯磨きでは落とせなくなってしまいます。

歯茎の炎症と出血

歯茎の炎症と出血

歯周病菌が増殖するとやがてバイオフィルムという膜を張ります。このバイオフィルムは抗体や抗生物質などの攻撃からも防御する力を持っています。

このバイオフィルムがきっかけで、歯茎が炎症を引き起こします。これが歯肉炎と呼ばれる状態です。

歯茎の炎症が続くとやがて出血し始めます。
これが歯周病の本格的な入り口となります。

歯周基本治療

細菌の増殖により歯槽骨が溶かされ始める

歯周病菌は鉄が好物です。
したがって、歯茎から出血をするということは歯周病菌が増殖する栄養を与えているのと一緒のことになります。

歯周病菌に感染した部分を排除しようとして免疫反応を引き起こし、歯を支える骨(歯槽骨)を吸収(溶かされる)します。

そうして歯周ポケットが形成されます。
3mm〜4mm程度のポケットがあると、軽度歯周炎と診断されます。

この時に治療をすれば、健康な歯茎を取り戻すことができます。

歯周基本治療

顕著な症状が現れる(歯のグラつき、口臭など)

更に炎症が続くと、顕著な症状を感じるようになります。
理由としては、歯周ポケットが4mm〜6mmほど溶かされてしまうため、徐々に歯が支えられなくなるからです。

歯がグラついたり、口臭が強くなったり、起床時にお口がネバネバするなど不快な症状を感じるようになります。

これを中等度歯周炎と呼びます。
早く対処をすれば、抜歯を回避することも可能です。 外科治療などをしなくても改善する症例もたくさんあります。

ここでも歯医者に行くことを決心できないと、歯周病は重症化してしまいます。

歯周基本治療

食事が噛めない、強い口臭、膿がでる、歯が抜ける

歯周ポケットは6mm以上になり、歯槽骨は大幅に溶かされてしまい、歯を支えることができなくなって抜け落ちてしまう場合があります。

歯ブラシができないほどの強い痛み、歯のグラつきが強くて食事が噛めない。歯が支えられずに前歯が出っ歯になってきたなど、生活に支障ができるほどの状態になります。

これを重度歯周炎(歯槽膿漏)と言います。

口臭もマスクだけでは隠せないほど強くなり、場合によっては膿が出る場合があります。

歯を残すことを大前提に考えますが、
残念ながら全身疾患や残せる歯に悪影響を与えてしまうリスクがある場合は、抜歯をせざるを得ません。これはあなたの歯と身体を守るためです。

歯周病治療の流れ

歯周病の治療方法

歯周病には基本治療(初期治療)と外科治療に大きく分けられます。
どちらが良い治療方法であるか?ではなく、「治癒状態に応じて使い分ける」が正しい考え方です。では、それぞれ何を目的とした治療なのかをフローにしてご紹介します。

歯周基本治療

歯周基本治療

歯周基本治療は初期治療のことです。
歯周病の概ねはこの歯周基本治療で改善することができますが、基本治療が確実に行われていなければ歯周病は改善しません。

歯周基本治療で行うことは3つです。

  • 歯肉縁上、歯肉縁下のバイオフィルム及び歯石の除去
    ※歯肉縁上=歯茎の上 歯肉縁下=歯周ポケットの中
  • プラークコントロール(患者様のセルフケア)
  • 保存不可能な歯の抜歯
  • 不適合な補綴物のやり変え
  • 原因除去(噛み合わせの調整・動く歯の固定など)
※噛み合わせに影響があると、咬合性外傷という歯周病を進行させる原因になります。
※歯が動くと食べ物が噛めない、揺らされ続けることで歯を支える骨が吸収(溶かされる)ことを防ぐ目的があります。


これらを行い、細菌に侵されない口腔環境を作ること、歯周病の進行要因になる原因の除去を行うことによって歯周病を改善させます。
再評価

再評価

歯周基本治療を行った結果、初診時よりどれくらい改善したかを再評価します。歯茎からの出血がない、歯周ポケットの深さが5mm以下になっているかを確認し、それらが改善されていなければ再度歯周基本治療を行います。 それでも改善しなければ、歯周外科治療を行います。

歯周外科治療

歯周外科治療

歯周基本治療で改善しなかった場合、歯周病の原因が歯茎の深くにある可能性があります。そうすると上からのアプローチでは深いところにある原因は除去できないため、フラップ手術を行います。 歯茎を剥離して、歯根面を露出させた状態でバイオフィルム(プラーク)や歯石を除去していきます。

歯周外科治療

歯周組織再生療法

歯周組織再生療法は歯周外科治療の一つです。
歯周組織が失われてしまった場合、組織を再生させるために再生誘導剤を用いた治療を行います。おおよそ半年程度で、レントゲンに組織が再生しているのを確認することができます。

※骨が大幅に溶かされている場合は、再生療法をしても組織の再生は期待できないのが正直なところです。歯科医師から十分に説明を受けましょう。

歯周治療の症例

歯肉炎(増殖性歯肉炎)の症例

患者情報
22歳 男性
主訴
歯茎から血が出る
診断結果
増殖性歯肉炎
治療内容
歯周基本治療+歯肉切除+コンポジットレジン修復
治療期間
約1ヶ月
治療におけるリスク
術後に疼痛、腫れが出る場合あり
費用
15,000円

※ クリックして拡大することができます。

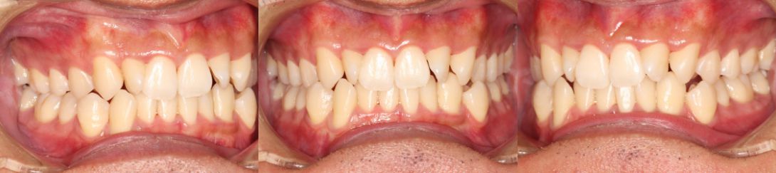
軽度歯周炎の症例

患者情報
22歳 男性
主訴
歯茎から血が出る
診断結果
軽度歯周炎
治療内容
歯周基本治療
治療期間
2ヶ月
治療におけるリスク
処置後軽度の痛み
費用
11万円

※ クリックして拡大することができます。

最後に、
歯周病は完治しません。

最後に、歯周病は完治しません。

患者様にご理解いただきたいことは、歯周病は完治しません。 いつでも再発の機会をうかがって、虎視眈々と狙っています。 症状が良くなるのは改善や治癒であって、完治ではないことを理解していただきたいと思います。

夢も希望もないように思えますが、あなたの歯を歯周病から守り続けるためにはとても重要な話です。ぜひ、あなたのことを大切にしてくれる歯科医院と出会い、二人三脚で治療とメンテナンスを行ってほしいと思います。

当院では日本歯周病学会専門医・指導医で、歯周病のエキスパートである若林健史に指導を受け、歯科医師・歯科衛生士共に常にスキルアップを行っています。

歯周病は一生涯のお付き合いになります。 あなたの歯を私たちにお任せいただければ、全力を尽くすことをお約束します。

モニターを募集しています

当院では学会発表や論文発表を目的とした、モニター募集をしています。
当院の考え方に理解をいただける方は、ご協力いただけると幸いです。

※モニターは無料ではありません。
※モニター割引をいたします。詳細はモニターページをご覧ください。

詳しくはこちら 

お気軽にご相談下さい

お口に関するお悩みがありましたら、お気軽にご相談下さい。
患者様に耳を傾け、誠実に対応致します。

WEB予約はこちら
※ご予約の前にお読みください

診療時間 10:00〜18:00