各線天神駅より徒歩5分

開咬(オープンバイト)の矯正治療

開咬(オープンバイト)とは?

咬み合った時に、上の歯列と下の歯列が咬み合わず、歯列の間に隙間がでるような咬合状態になる歯列のことです。柔らかい食べ物も噛み切れないほど隙間が空いており、奥歯で食事をするため、極端に奥歯に負担がかかることで、顎関節への影響も懸念されます。

開咬(オープンバイト)の原因

不正咬合の原因はいずれのタイプも遺伝的な要因と環境的な要因とがあります。開咬の遺伝的な要因としては、下顎骨の成長方向が前下方向に起こるという骨格的な問題が原因となります。

ご親族に開咬の方が多い場合には、この原因に当てはまることが多いです。開咬の環境的な要因とは、口輪筋弛緩、舌突出癖、低位舌、異常嚥下癖等の口輪筋機能不全や口腔周囲の悪習癖が原因になるといわれています。

開咬(オープンバイト)を放置するリスク

前歯がかみ合わず、前歯でかみ切ることができない機能障害の問題が起こることが多いといわれています。また、臼歯部(奥歯)の負担が大きく将来的に歯の寿命が短くなる、顎関節症の原因になるといわれています。

また、歯周病を発症している場合、歯に負担がかかることで歯槽骨の吸収が進み、歯周病の進行速度を早めてしまう原因にもなります。

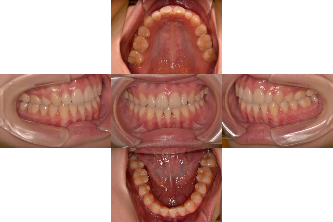
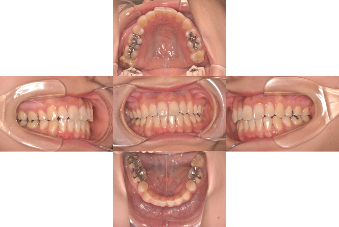
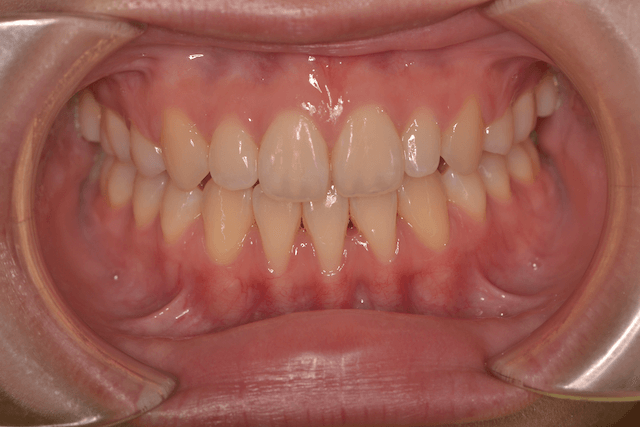
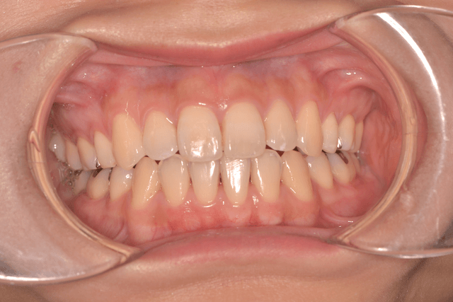
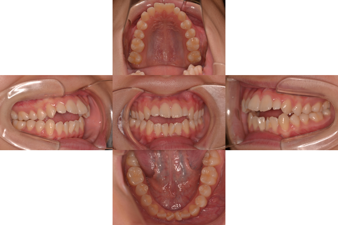
開咬(オープンバイト)の症例

開咬(オープンバイト)を抜歯、インプラントアンカー、DBSで改善した症例

※DBSとはダイレクトボンディングシステムと呼ばれており、ブラケットにワイヤーを通して歯を動かしていく矯正治療です。

患者情報
16歳女性
主訴
前歯の隙間が気になる
行った治療内容
上顎両側4番抜歯、下顎左側1番抜歯 上顎インプラントアンカー、顎間ゴム、DBS
治療のリスク
歯根吸収、前歯部歯肉退縮
治療期間
3年6か月

※ クリックして拡大することができます。

開咬(オープンバイト)を抜歯とDBSで改善した症例

※DBSとはダイレクトボンディングシステムと呼ばれており、ブラケットにワイヤーを通して歯を動かしていく矯正治療です。

患者情報
17歳女性
主訴
ガタガタの歯並びを直したい
行った治療内容
上下顎両側4番抜歯、DBS
治療のリスク
歯肉退縮、歯根吸収
治療期間
動的治療期間4年3か月 (来院がとびとびだった)

※ クリックして拡大することができます。

モニターを募集しています

当院では学会発表や論文発表を目的とした、モニター募集をしています。
当院の考え方に理解をいただける方は、ご協力いただけると幸いです。

※モニターは無料ではありません。
※モニター割引をいたします。詳細はモニターページをご覧ください。

詳しくはこちら 

お気軽にご相談下さい

お口に関するお悩みがありましたら、お気軽にご相談下さい。
患者様に耳を傾け、誠実に対応致します。

WEB予約はこちら
※ご予約の前にお読みください

診療時間 10:00〜18:00