各線天神駅より徒歩5分

受け口(反対咬合・下顎前突)の矯正治療

受け口(反対咬合・下顎前突)とは?

咬み合った時に、前歯の重なりあいが、下の歯列が上の歯列より前にでるような咬合状態になる歯列のことです。 しゃくれているように見えるなどお悩みの方は、この不正歯列の可能性が高いです。

受け口(反対咬合・下顎前突)の原因

受け口の遺伝的な要因としては、もともと下顎骨が大きい、または上顎骨が小さい等の骨格的な問題が原因となります。

ご親族に明らかな受け口の方が多い場合には、この原因に当てはまることが多いです。受け口の環境的な要因とは、下口唇弛緩、上口唇過緊張、低位舌等の口輪筋機能不全や口腔周囲の悪習癖、また、猫背等の姿勢も原因になるといわれています。

受け口(反対咬合・下顎前突)をそのまま放置するリスク

見た目の問題以外には前歯で食べ物を噛みきれない、奥歯で食べ物を噛みにくい等の機能障害が出ることが多いといわれています。

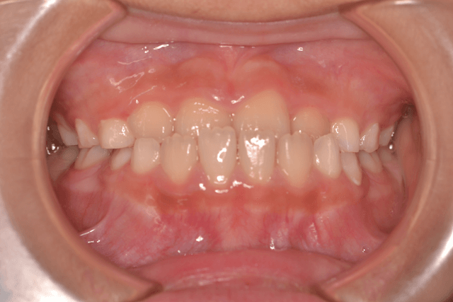
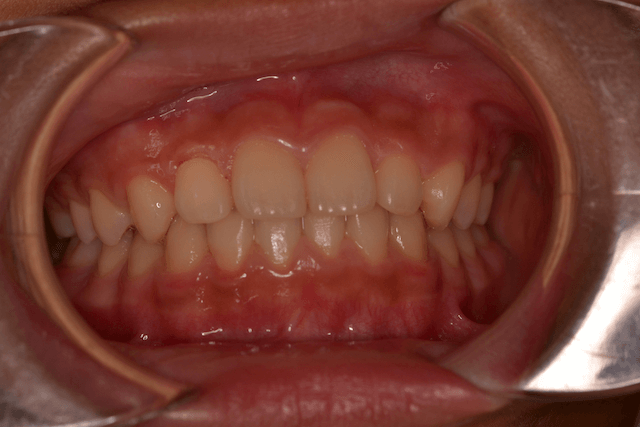
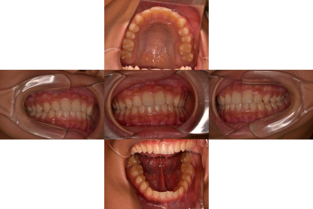
受け口(反対咬合・下顎前突)の症例

受け口(反対咬合・下顎前突)をリンガルアーチ、セクショナルDBSで改善した症例

患者情報
10歳男性
主訴
前歯のかみ合わせ
行った治療内容
リンガルアーチ、セクショナルDBS
治療のリスク
歯根吸収、歯肉退縮
治療期間
3年5か月

※ クリックして拡大することができます。

モニターを募集しています

当院では学会発表や論文発表を目的とした、モニター募集をしています。
当院の考え方に理解をいただける方は、ご協力いただけると幸いです。

※モニターは無料ではありません。
※モニター割引をいたします。詳細はモニターページをご覧ください。

詳しくはこちら 

お気軽にご相談下さい

お口に関するお悩みがありましたら、お気軽にご相談下さい。
患者様に耳を傾け、誠実に対応致します。

WEB予約はこちら
※ご予約の前にお読みください

診療時間 10:00〜18:00