各線天神駅より徒歩5分

叢生の矯正治療

叢生とは?

叢生とは乱ぐい歯とも呼ばれ、歯が歯列に収まらずガタガタに生えてきてしまっている状態の歯列です。八重歯も叢生の一種です。

わかりやすく叢生を説明すると、4人掛けの椅子に5人座るようなイメージで、歯が生えるスペースがなく窮屈な状態になるため、互い違いのような歯列になってしまいます。

乳歯の時はキレイな歯並びをしていても永久歯のほうが歯が大きいため、永久歯に生え変わるタイミングで叢生になる方もいらっしゃいます。

叢生の原因

顎の大きさと歯の大きさのサイズの不一致が1番の原因です。他には乳歯の時期にカリエス(虫歯)多発があったり、生え変わりがうまく行われなかった場合も原因になります。

叢生をそのまま
放置するリスク

ガタガタの歯並びだとブラッシング等お口の衛生管理が難しく、虫歯や歯周病が起こりやすく、結果、歯の寿命の短縮につながるリスクがあるといわれています。

叢生の症例

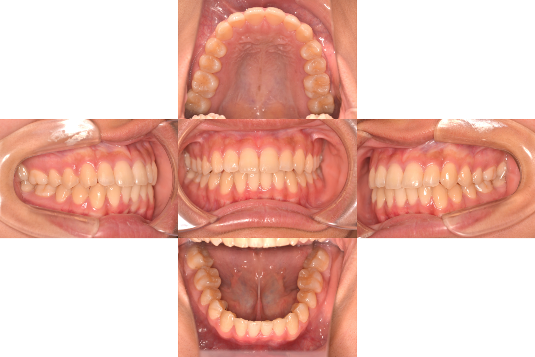
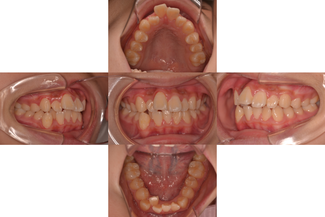
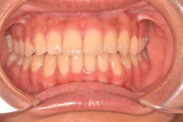
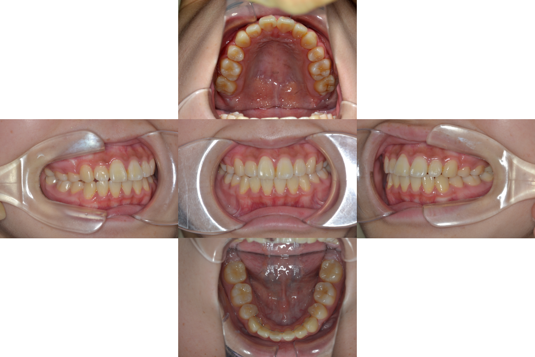
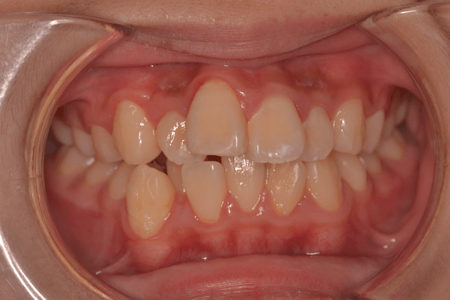
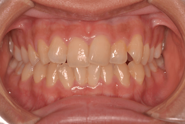
叢生をフルDBSで改善した症例

※DBSとはダイレクトボンディングシステムと呼ばれており、ブラケットにワイヤーを通して歯を動かしていく矯正治療です。

患者情報
18歳女性
主訴
歯並びがガタガタ
行った治療内容
フルDBS
治療のリスク
歯肉退縮、歯根吸収
治療期間
動的治療期間2年4か月

※ クリックして拡大することができます。

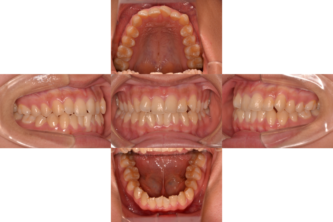
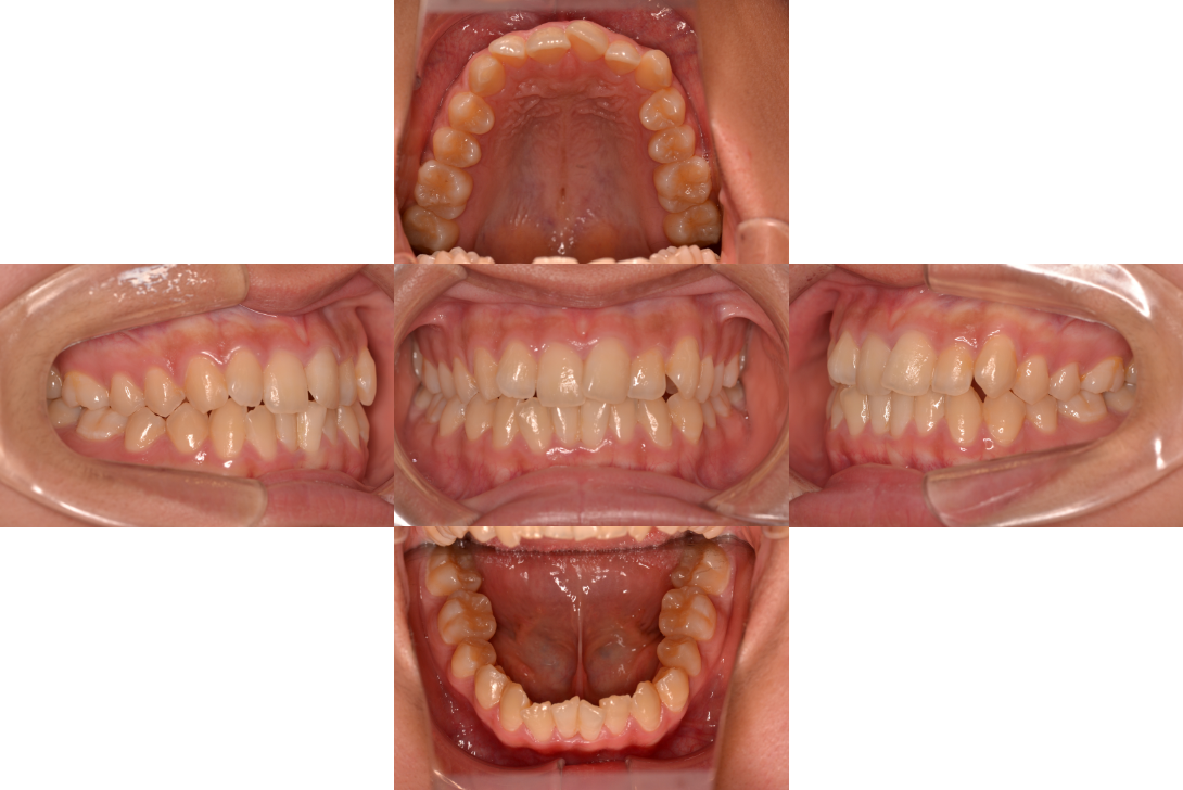
叢生を抜歯とDBSで改善した症例

※DBSとはダイレクトボンディングシステムと呼ばれており、ブラケットにワイヤーを通して歯を動かしていく矯正治療です。

患者情報
17歳女性
主訴
歯並びがガタガタ
行った治療内容
上下顎両側4番抜歯、DBS
治療のリスク
歯肉退縮、歯根吸収
治療期間
動的治療期間3年6か月

※ クリックして拡大することができます。

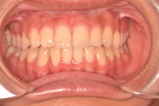
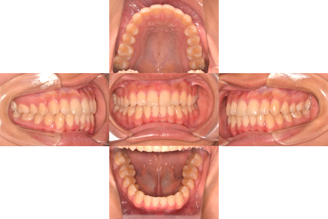
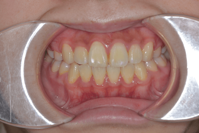
叢生をフルDBSで改善した症例

※DBSとはダイレクトボンディングシステムと呼ばれており、ブラケットにワイヤーを通して歯を動かしていく矯正治療です。

患者情報
21歳女性
主訴
ガタガタしている
行った治療内容
フルDBS
治療のリスク
歯肉退縮、歯根吸収
治療期間
動的治療期間2年4か月

※ クリックして拡大することができます。

モニターを募集しています

当院では学会発表や論文発表を目的とした、モニター募集をしています。
当院の考え方に理解をいただける方は、ご協力いただけると幸いです。

※モニターは無料ではありません。
※モニター割引をいたします。詳細はモニターページをご覧ください。

詳しくはこちら 

お気軽にご相談下さい

お口に関するお悩みがありましたら、お気軽にご相談下さい。
患者様に耳を傾け、誠実に対応致します。

WEB予約はこちら
※ご予約の前にお読みください

診療時間 10:00〜18:00