各線天神駅より徒歩5分

インレー(詰め物)

インレーとは?

インレーとは詰め物のことです。虫歯治療によって削った部分を修復する「詰め物」の治療です。治療した部分に対して型取りを行い、その型を元にインレーを製作し、装着して修復します。

このインレーには保険適応のメタルインレーと自由診療のセラミックインレーがあります。

インレーの種類

保険診療のインレー

メタルインレー

主に奥歯の詰め物として使用される銀色の金属の詰め物です。金銀パラジウム合金を使用しています。

メタルインレーのメリット

  • 保険適応である
  • 強度がある

メタルインレーのデメリット

  • 金属アレルギーの方には適していない
  • 歯茎に着色する可能性がある(歯茎が黒ずんで見える)
  • セラミックに比べると審美的に劣る
  • 変形してしまい、隙間ができやすい

コンポジットレジン

コンポジットレジンは、プラスチック素材の詰め物です。
保険適用ですので、虫歯の状態によってはコンポジットレジン充填で修復します。

コンポジットレジンのメリット

  • 保険診療の範囲では、審美性が確保できる
  • 治療回数が少なくすみます。
  • 金属を使用しない

コンポジットレジンのデメリット

  • 強度が低い
  • 長期使用に適していない(欠損しやすく二次虫歯の原因となる場合がある)
  • 変色してしまう
  • 虫歯の状態によっては使用できない

コンポジットレジンが適応できないケース

  • 修復する面積が広い場合
  • 歯間に大きい虫歯がある場合
  • 歯が欠けている場合

など、コンポジットレジンで修復ができないケースがあることも知っておいてください。

自由診療のインレー

セラミックインレー

セラミックインレーは陶器と同じで原理で作り上げられる詰め物です。 その高い審美性から、昨今セラミックインレーがスタンダードになってきています。ここでは、セラミックインレーのメリット・デメリットをご紹介します。

セラミックインレーのメリット

  • 白くて治療しているとわかりにくい
  • 汚れが付きにくい(プラークが溜まりにくい)
  • 歯茎に着色しない
  • 強度がある
  • 金属を使用しない

セラミックインレーのデメリット

  • 硬いが割れやすい
  • 金属よりも削る量が多くなる
  • 保険外診療なので費用が高くなってしまう

メリット・デメリットを歯科医師と十分に話し合った上で選択しましょう。

費用110,000円~165,000円

費用は使用する材料や治療内容により異なります。詳細は初診時にご案内いたします。

インレー装着まで
の流れ

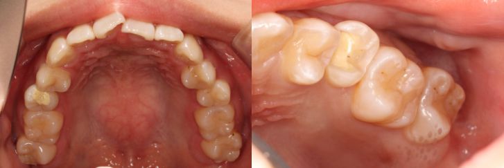
インレーの症例

インレーをやりかえ

患者情報
24歳 女性
主訴
詰め物をやりかえたい
治療内容
詰め物のやりかえ
治療期間
2週間
治療におけるリスク
処置後しみる事がある
費用
8万円

※ クリックして拡大することができます。

お気軽にご相談下さい

お口に関するお悩みがありましたら、お気軽にご相談下さい。
患者様に耳を傾け、誠実に対応致します。

WEB予約はこちら
※ご予約の前にお読みください

診療時間 10:00〜18:00