各線天神駅より徒歩5分

ホワイトニング

ホワイトニングで
美しい口元になりませんか?

近年では、天神エリアにもホワイトニング専門店が増え、ホワイトニングはより身近な美容ケアのひとつとして多くの方に知られるようになりました。

市販のアイテムや専門サロンで気軽に始められる一方で、当院では歯科医師の管理のもと、安全かつ効果的に行える歯科医院でのホワイトニングをおすすめしています。

天神オーラルケアクリニックでは、オフィスホワイトニングとホームホワイトニングの両方に対応しており、患者さまのご希望やライフスタイルに合わせて、最適なプランをご提案しております。ここでは、当院が行っているホワイトニングの種類や、それぞれの特長、歯科医院で行うことのメリットについて詳しくご紹介いたします。

ホワイトニングはなぜ歯科医院
で行うほうが良いのか?

天神でホワイトニングをご検討の方には、歯科医院での施術をおすすめします。中でも大きなメリットは、施術前のチェックで虫歯や歯周病といったトラブルを早期に発見・治療できる点です。お口の健康を保ちながら、美しく白い歯を目指すには非常に重要なポイントです。

もちろん、虫歯がある状態でもホワイトニングは可能ですが、先にホワイトニングを行ってから虫歯治療に進むと、被せものの色が周囲の歯と合わなくなってしまい、見た目に違和感が残るケースがあります。そのため、理想的な順序で治療とホワイトニングを進めることが、自然で美しい口元をつくるカギとなります。

また、詰め物や被せものはホワイトニングによって色が変化しないため、その点も考慮する必要があります。天神オーラルケアクリニックでは、虫歯治療とホワイトニングを同時に対応できるため、患者さまの負担も少なく、総合的な口元の美しさと健康をサポートします。

当院が行うホワイトニングの種類

ホームホワイトニング

ホームホワイトニングは自宅でホワイトニングができることで選ばれる方が非常に多いです。歯科医院で行うオフィスホワイトニングに比べて、効果を実感するまでには時間がかかりますが、じっくり白くしていくため、後戻りはオフィスホワイトニングに比べてゆっくりであることが特徴です。

オフィスホワイトニング

歯科医院で行うオフィスホワイトニングは、ホームホワイトニングよりも高濃度の薬剤を塗布し、レーザーを使用することで歯を白くしていきます。 ホームホワイトニングに比べて効果を実感する期間が短いですが、後戻りも早いので、オフィスホワイトニングとホームホワイトニングを併用される方もいらっしゃいます。

費用27,500円~99,000円

費用は使用する材料や治療内容により異なります。詳細は初診時にご案内いたします。

ホワイトニングの
メリット・デメリット

メリット

歯を削らずに白く出来ることが最大のメリットです。歯を白くするとレフ板効果により、顔が明るく見えるメリットがあります。また、歯が白くなることで自信がつき、笑顔になられる方がとても多いです。

デメリット

しみたり、痛みを感じることがあります。

また、被せものやテトラサイクリン歯、失活歯に対しては効果が得られません。

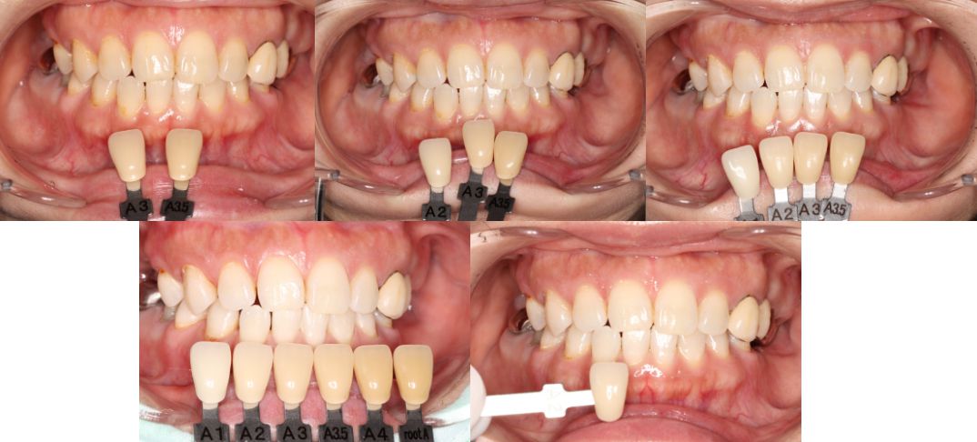
ホワイトニングの症例

オフィスホワイトニングの症例

患者情報
46歳 女性
主訴
ホワイトニングをしたい
治療内容
オフィスホワイトニング 3回
治療期間
1ヶ月
治療におけるリスク
処置後しみる事がある

※ クリックして拡大することができます。

ホワイトニングの
よくある質問

ホワイトニングに痛みはありますか?
痛みや不快症状が出ることがありますが、一過性のもので、自然に治まっていきます。
ホワイトニングの施術までの流れを教えて下さい

来院していただいたら、まずは虫歯や歯周病などがないかを検査します。問題がない、もしくは治療完了、クリーニング後にホワイトニングへ進んでいきます。

ホームホワイトニングの場合

型取りを行い、あなた専用のマウスピースを作成致します。その後、マウスピースとホワイトニング剤を渡します。ホームホワイトニングの方法、注意点などをご説明いたしますので、使用方法を守ってご利用いただきます。その後、変化を確認させていただくために、ご来院していただきます。

オフィスホワイトニングの場合

歯科医院専用の高濃度の薬剤を使用して、専用の器械で照射していきます。 なるべく痛みが感じないように、歯茎にしみ止めを塗布していきます。

ホワイトニング前にクリーニングしたほうがよいですか?
クリーニングをすることをおすすめしています。表面の着色を除去することによって薬剤の効果が出やすくなります。

天神でホワイトニングなら天神オーラルケアクリニック

天神でホワイトニングをお考えの方は、ぜひ天神オーラルケアクリニックへご相談ください。当院では、オフィスホワイトニングとホームホワイトニングの両方に対応しており、ライフスタイルやご希望に合わせて最適な方法をご提案いたします。

オフィスホワイトニングは、短時間で効果を実感できるため、結婚式やイベント前におすすめです。一方、ホームホワイトニングはご自宅でゆっくり取り組め、白さが長持ちするのが特長です。どちらの方法も、専門の歯科医師が丁寧にサポートし、安全に配慮した施術を行っております。

単に歯を白くするだけでなく、患者さま一人ひとりの口元全体の美しさにもこだわり、自然で健康的な笑顔を目指します。 天神でホワイトニングなら、実績と信頼のある天神オーラルケアクリニックまでお気軽にご相談ください。

お気軽にご相談下さい

お口に関するお悩みがありましたら、お気軽にご相談下さい。
患者様に耳を傾け、誠実に対応致します。

WEB予約はこちら
※ご予約の前にお読みください

診療時間 10:00〜18:00