各線天神駅より徒歩5分

過蓋咬合の矯正治療

過蓋咬合とは
どのような歯列を指しますか?

咬み合った時に、前歯の重なりあいが、上の歯列が下の歯列より前にでて、かつ深く咬みこむような咬合状態になる歯列のこと。正面から見て、下の前歯が見えにくい咬合です。

過蓋咬合の原因

不正咬合の原因は他の不正歯列と同じように、遺伝的な要因と環境的な要因とがあります。

過蓋咬合の遺伝的な要因としては、もともと上顎骨が大きい、または下顎骨が小さい等の骨格的な問題が原因となります。ご親族に過蓋咬合の方が多い場合には、この原因に当てはまることが多いです。また、日本人の多くは上顎骨は正常で下顎骨が小さい場合が多いといわれています。

過蓋咬合の環境的な要因とは、上口唇弛緩、下口唇過緊張等の口輪筋機能不全や下口唇を咬む等の口腔周囲の悪習癖も原因になるといわれています。

過蓋咬合を
放置するリスク

見た目の問題以外では、前歯部の咬合接触により、下顎が上後方に押し込まれて、顎の開閉時の痛みや動かしにくさ等の顎関節症が発現する原因になると言われています。

過蓋咬合の症例

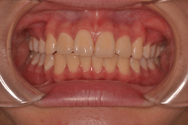
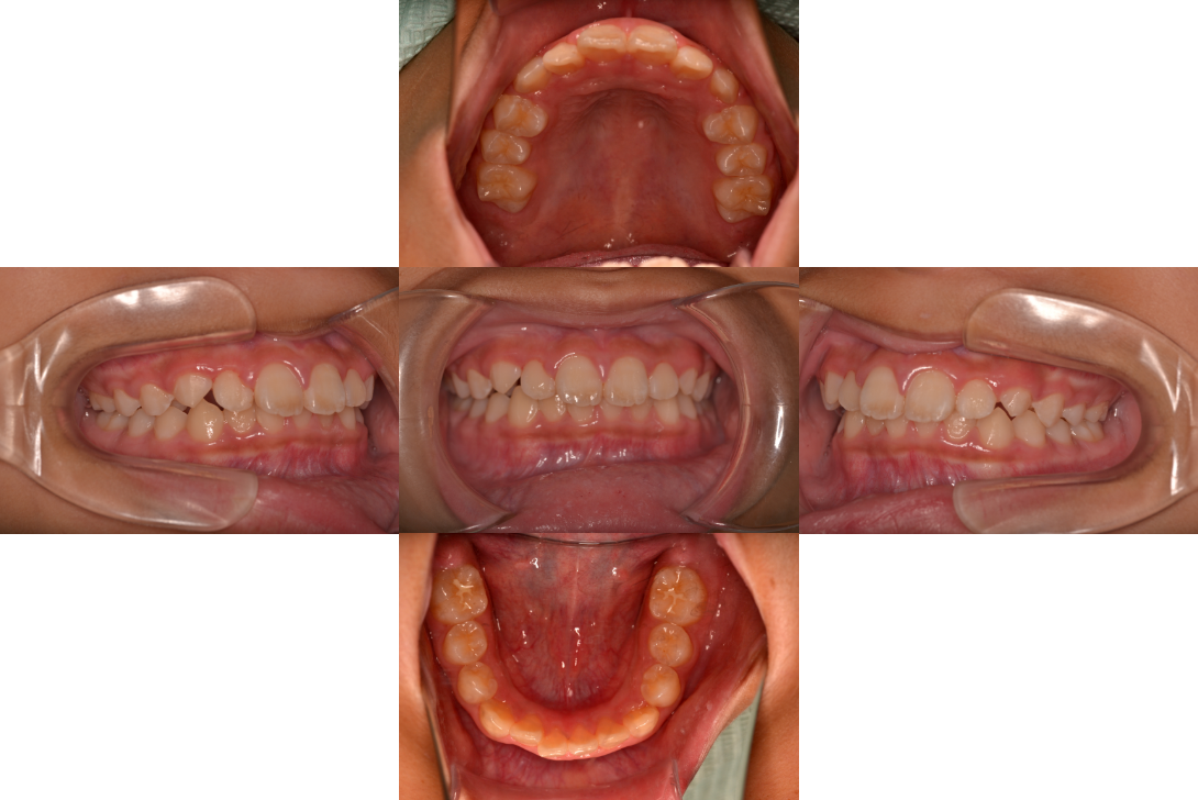
過蓋咬合を抜歯とDBSで改善した症例

※DBSとはダイレクトボンディングシステムと呼ばれており、ブラケットにワイヤーを通して歯を動かしていく矯正治療です。

患者情報
16歳女性
主訴
前歯がでてる
行った治療内容
上顎両側4番抜歯、DBS
治療のリスク
歯根吸収、前歯部歯肉退縮
治療期間
動的治療期間4年0か月

※ クリックして拡大することができます。

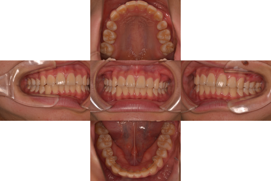
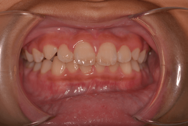
過蓋咬合を床矯正装置、下顎骨の前下方成長の促進で改善した症例

患者情報
11歳男性
主訴
咬み合わせを直したい
行った治療内容
床矯正装置、下顎骨の前下方成長の促進
治療のリスク
使用時間が短いと効果でない
治療期間
動的治療期間1年6か月

※ クリックして拡大することができます。

モニターを募集しています

当院では学会発表や論文発表を目的とした、モニター募集をしています。
当院の考え方に理解をいただける方は、ご協力いただけると幸いです。

※モニターは無料ではありません。
※モニター割引をいたします。詳細はモニターページをご覧ください。

詳しくはこちら 

お気軽にご相談下さい

お口に関するお悩みがありましたら、お気軽にご相談下さい。
患者様に耳を傾け、誠実に対応致します。

WEB予約はこちら
※ご予約の前にお読みください

診療時間 10:00〜18:00